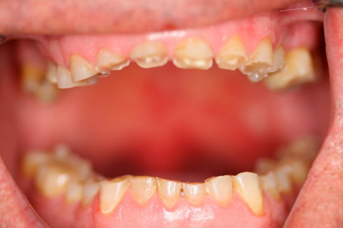
Bruxismo