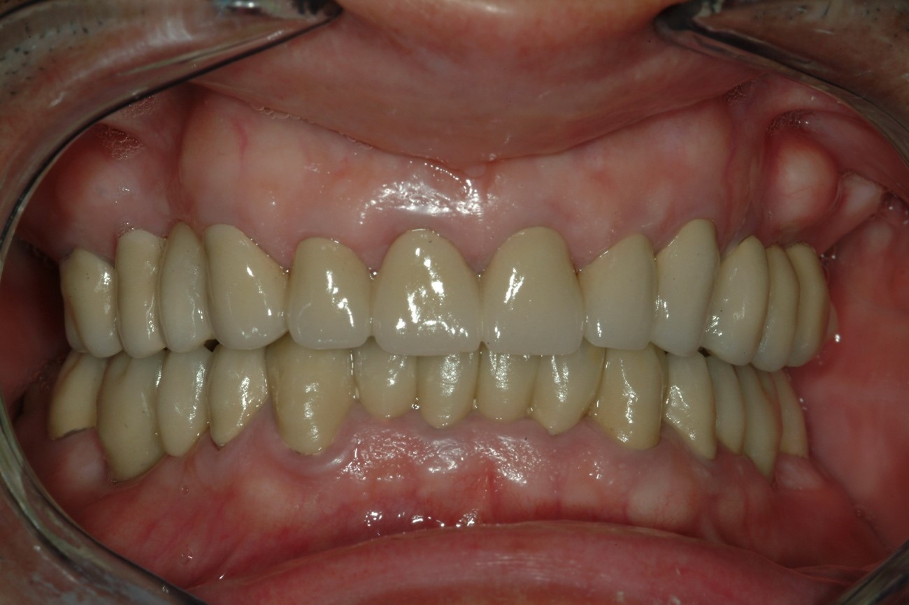
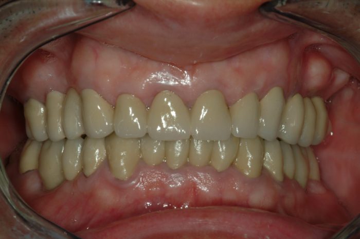
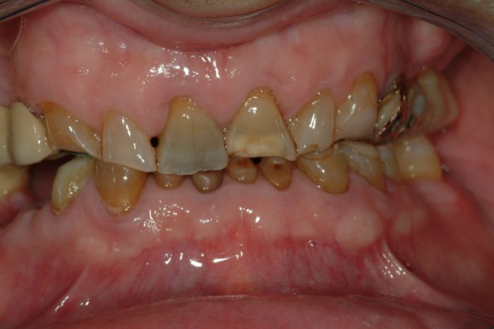
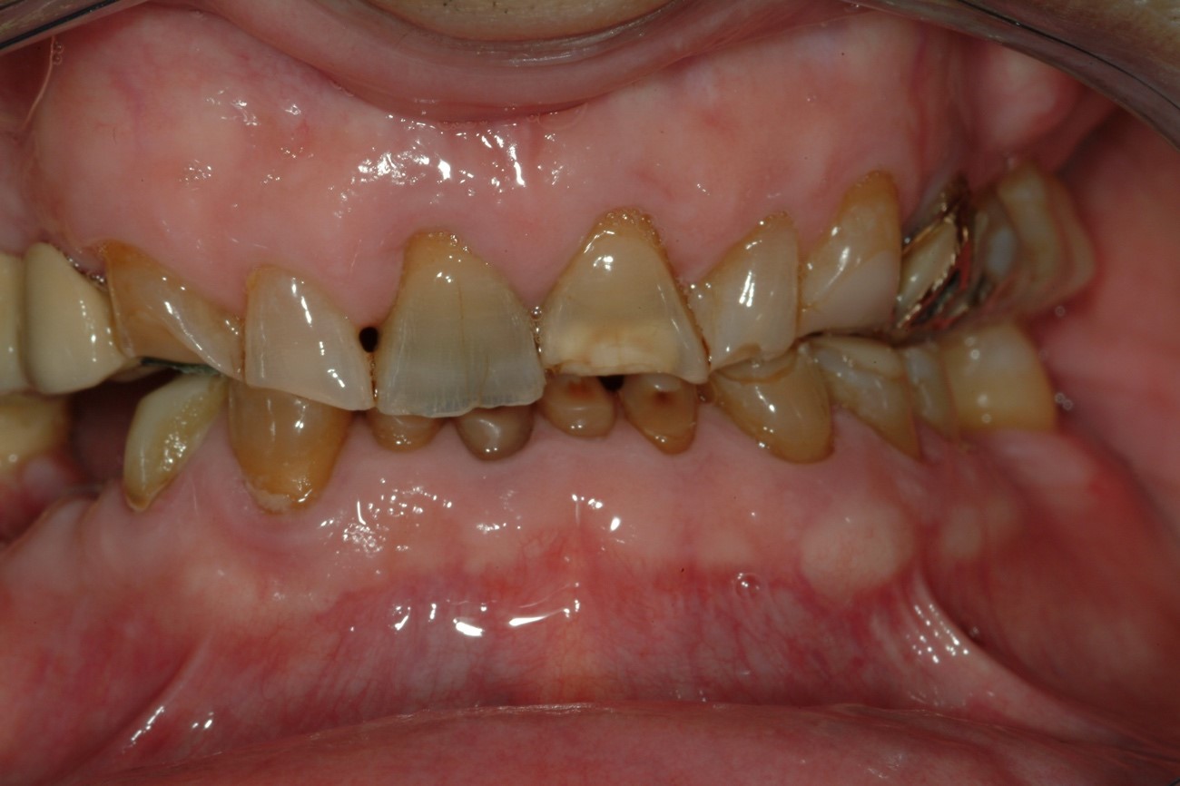
Estética Dental